Monoclonal Antibody to Cyclin D1 (Clone: ABM47F5)

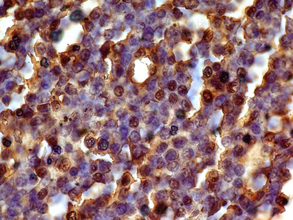
Fig-1: Immunohistochemical analysis of Cyclin D1 in Mantle cell using Cyclin D1 antibody (Clone: ABM47F5) at 5 µg/ml.
Roll over image to zoom in
Shipping Info:
Order now and get it on Thursday October 16, 2025
Same day delivery FREE on San Diego area orders placed by 1.00 PM
Format : | Purified |
Amount : | 100 µg |
Isotype : | Mouse IgG2a Kappa |
Purification : | Protein G Chromatography |
Content : | 25 µg in 50 µl/100 µg in 200 µl PBS containing 0.05% BSA and 0.05% sodium azide. Sodium azide is highly toxic. |
Storage condition : | Store the antibody at 4°C; stable for 6 months. For long-term storage; store at -20°C. Avoid repeated freeze and thaw cycles. |
Cyclin D1 (CCND1) is an important positive regulator of the G1/S phase of the cell cycle. It regulate cell cycle transition from G1 phase to S phase It is a well-established human oncogene which is frequently amplified or overexpressed in cancers (25409185). Cyclin D1b is one of two proteins translated from Cyclin D1 transcripts (isoforms a and b) that are generated due to gene polymorphism. Low Cyclin D1b expression in cervical cancer tissue, with an expression level in moderately or poorly differentiated tissues was significantly lower than that in well-differentiated tissues (25120779). Diseases associated with CCND1 include multiple myeloma and mantle cell lymphoma.
Immunohistochemical analysis: 5-10 µg/ml
For Research Use Only. Not for use in diagnostic/therapeutics procedures.
Subcellular location: | Nucleus, Cytoplasm, Membrane |
Post transnational modification: | Phosphorylation at Thr-286 by MAP kinases is required for ubiquitination and degradation following DNA damage. It probably plays an essential role for recognition by the FBXO31 component of SCF (SKP1-cullin-F-box) protein ligase complex. |
Tissue Specificity: | Ubiquitously expressed. Expression is down-regulated in a variety of tumor types including breast, colon, prostate and rectal tumors, and is up-regulated in certain hepatic carcinomas. |
BioGrid: | 107067. 101 interactions. |
There are currently no product reviews
|