Monoclonal Antibody to IL-6 (Interleukin-6) / Interferon beta-2 (Hybridoma Growth Factor)(Clone : IL6/1270)(Discontinued)

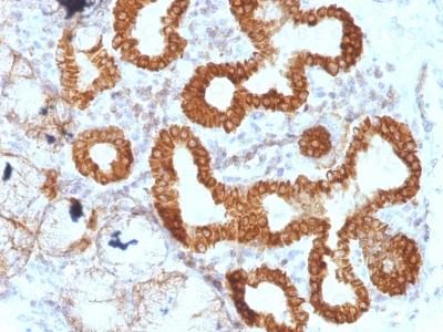
Formalin-fixed, paraffin-embedded human Esophageal Carcinoma stained with IL-6 Monoclonal Antibody (IL6/1270).
Roll over image to zoom in

Shipping Info:
For estimated delivery dates, please contact us at [email protected]
Format : | Purified |
Amount : | 100 µg |
Isotype : | Rat IgG1 |
Purification : | Affinity Chromatography |
Content : | 100 µg in 500 µl PBS containing 0.05% BSA and 0.05% sodium azide. Sodium azide is highly toxic. |
Storage condition : | Store the antibody at 4°C; stable for 6 months. For long-term storage; store at -20°C. Avoid repeated freeze and thaw cycles. |
Flow Cytometry (0.5-1µg/million cells in 0.1ml); Immunofluorescence (0.5-1µg/ml); Immunohistology (Formalin-fixed) (1-2µg/ml for 30 minutes at RT);(Staining of formalin-fixed tissues requires boiling tissue sections in 10mM Tris with 1mM EDTA, pH 9.0, for 10-20 min followed by cooling at RT for 20 minutes);Optimal dilution for a specific application should be determined.
For Research Use Only. Not for use in diagnostic/therapeutics procedures.
Subcellular location: | Secreted |
Post transnational modification: | N- and O-glycosylated. |
BioGrid: | 109783. 4 interactions. |
There are currently no product reviews
|