Monoclonal Antibody to Podocalyxin (PODXL) (Hematopoietic Stem Cell Marker)(Clone : 3D3)

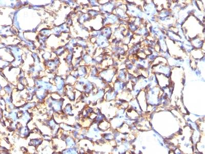
Formalin-fixed, paraffin-embedded human Angiosarcoma stained with Podocalyxin Monoclonal Antibody (3D3).
Roll over image to zoom in
Shipping Info:
For estimated delivery dates, please contact us at [email protected]
Format : | Purified |
Amount : | 100 µg |
Isotype : | Mouse IgG1, kappa |
Purification : | Affinity Chromatography |
Content : | 100 µg in 500 µl PBS containing 0.05% BSA and 0.05% sodium azide. Sodium azide is highly toxic. |
Storage condition : | Store the antibody at 4°C; stable for 6 months. For long-term storage; store at -20°C. Avoid repeated freeze and thaw cycles. |
Podocalyxin is a member of the CD34 transmembrane sialomucin family. It is over-expressed on the podocyte foot projections and plays essential roles in kidney development and homeostasis, blood filtration and urine formation. It is also expressed on vascular endothelia, hematopoietic progenitors and a subset of neurons. Overexpression of podocalyxin may be linked to more aggressive tumor behavior. Podocalyxin antibody can identify podocytes in the urine (podocyturia) that may indicate glomerular disease, pre-eclampsia, and other kidney pathology.
Flow Cytometry (1-2ug/million cells); Immunofluorescence (1-2ug/ml); Immunoprecipitation (1-2ug/500ug protein); Western Blot (1-2ug/ml); Immunohistochemistry (Formalin-fixed) (1-2ug/ml for 30 min at RT)(Staining of formalin-fixed tissues requires heating tissue sections in 10mM Tris with 1mM EDTA, pH 9.0, for 45 min at 95°C followed by cooling at RT for 20 minutes);
For Research Use Only. Not for use in diagnostic/therapeutics procedures.
Subcellular location: | Apical cell membrane, Cell projection, Cell projection, Cell projection, Cell projection, Membrane raft, Membrane |
Post transnational modification: | N- and O-linked glycosylated. Sialoglycoprotein (By similarity). |
Tissue Specificity: | Glomerular epithelium cell (podocyte). |
BioGrid: | 111416. 22 interactions. |
There are currently no product reviews
|