Monoclonal Antibody to Involucrin (Squamous Cell Terminal Differentiation Marker)(Clone : IVRN/827)

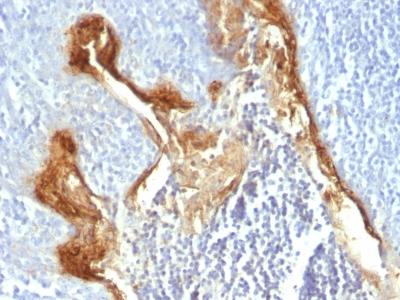
Formalin-fixed, paraffin-embedded human Tonsil stained with Involucrin Monoclonal Antibody (IVRN/827)
Roll over image to zoom in
Shipping Info:
For estimated delivery dates, please contact us at [email protected]
Format : | Purified |
Amount : | 100 µg |
Isotype : | Mouse IgG1, kappa |
Purification : | Affinity Chromatography |
Content : | 100 µg in 500 µl PBS containing 0.05% BSA and 0.05% sodium azide. Sodium azide is highly toxic. |
Storage condition : | Store the antibody at 4°C; stable for 6 months. For long-term storage; store at -20°C. Avoid repeated freeze and thaw cycles. |
Flow Cytometry (0.5-1µg/million cells in 0.1ml); Immunofluorescence (1-2µg/ml); Immunohistology (Formalin-fixed) (0.1-0.2µg/ml for 30 min at RT); (Staining of formalin-fixed tissues is enhanced by digestion with trypsin or Protease XXV at 1mg/ml PBS for 5 min at 37 ?C); (Note than enzyme digestion is better than Citrate buffer based epitope unmasking); Optimal dilution for a specific application should be determined.
For Research Use Only. Not for use in diagnostic/therapeutics procedures.
Subcellular location: | Cytoplasm |
Post transnational modification: | Substrate of transglutaminase. Some glutamines and lysines are cross-linked to other involucrin molecules, to other proteins such as keratin, desmoplakin, periplakin and envoplakin, and to lipids like omega-hydroxyceramide. |
Tissue Specificity: | Keratinocytes of epidermis and other stratified squamous epithelia. |
BioGrid: | 109917. 40 interactions. |
There are currently no product reviews
|