Monoclonal Antibody to Phosphotyrosine (P-Tyr)(Clone : SPM102)

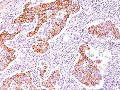
Formalin-fixed, paraffin-embedded human Breast Carcinoma stained with Phosphotyrosine Monoclonal Antibody (SPM102).
Roll over image to zoom in
Shipping Info:
For estimated delivery dates, please contact us at [email protected]
Format : | Purified |
Amount : | 100 µg |
Isotype : | Mouse IgG2b, kappa |
Purification : | Affinity Chromatography |
Content : | 100 µg in 500 µl PBS containing 0.05% BSA and 0.05% sodium azide. Sodium azide is highly toxic. |
Storage condition : | Store the antibody at 4°C; stable for 6 months. For long-term storage; store at -20°C. Avoid repeated freeze and thaw cycles. |
Immunogen Information : | Phosphotyrosine conjµgated to KLH |
Flow Cytometry (1-2ug/million cells); Immunofluorescence (1-2ug/ml); Western Blot (1-2ug/ml); Immunoprecipitation (1-2ug/500ug protein lysate); Immunohistochemistry (Formalin-fixed) (1-2ug/ml for 30 minutes at RT) (No pretreatment is required for staining of formalin-fixed, paraffin-embedded tissues)
For Research Use Only. Not for use in diagnostic/therapeutics procedures.
There are currently no product reviews
|