Polyclonal Antibody to SEK1/MKK4 (Phospho-Thr261)

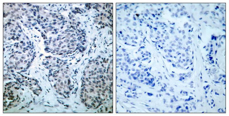
Figure 1: Immunohistochemical analysis of paraffin-embedded human breast carcinoma tissue using SEK1/MKK4(Phospho-Thr261) Antibody 35-1167 (left) or the same antibody preincubated with blocking peptide(right).
Roll over image to zoom in
Shipping Info:
For estimated delivery dates, please contact us at [email protected]
Format : | Purified |
Amount : | 100 µl |
Isotype : | Rabbit IgG |
Content : | Supplied at 1.0mg/mL in phosphate buffered saline (without Mg2+ and Ca2+), pH 7.4, 150mM NaCl, 0.02% sodium azide and 50% glycerol. |
Storage condition : | Store the antibody at 4°C, stable for 6 months. For long-term storage, store at -20°C. Avoid repeated freeze and thaw cycles. |
Dual specificity kinase that activates the JUN kinases MAPK8 (JNK1) and MAPK9 (JNK2) as well as MAPK14 (p38) but not MAPK1 (ERK2) or MAPK3 (ERK1).
Predicted MW: 44kd, Immunohistochemistry: 1:50~1:100, Immunofluorescence: 1:100~1:200
For Research Use Only. Not for use in diagnostic/therapeutics procedures.
Subcellular location: | Cytoplasm, Nucleus |
Post transnational modification: | Activated by phosphorylation on Ser-257 and Thr-261 by MAP kinase kinase kinases (MAP3Ks). |
Tissue Specificity: | Abundant expression is seen in the skeletal muscle. It is also widely expressed in other tissues. |
BioGrid: | 112315. 43 interactions. |
There are currently no product reviews
|