Polyclonal Antibody to VEGFR2 (Ab-1214)

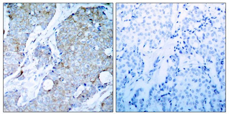
Figure 1: Immunohistochemical analysis of paraffin-embedded human breast carcinoma tissue using VEGFR2(Ab-1214) Antibody 35-1432 (left) or the same antibody preincubated with blocking peptide(right).
Roll over image to zoom in
Shipping Info:
For estimated delivery dates, please contact us at [email protected]
Format : | Purified |
Amount : | 100 µl |
Isotype : | Rabbit IgG |
Content : | Supplied at 1.0mg/mL in phosphate buffered saline (without Mg2+ and Ca2+), pH 7.4, 150mM NaCl, 0.02% sodium azide and 50% glycerol. |
Storage condition : | Store the antibody at 4°C, stable for 6 months. For long-term storage, store at -20°C. Avoid repeated freeze and thaw cycles. |
Receptor for VEGF or VEGFC. Has a tyrosine-protein kinase activity. The VEGF-kinase ligand/receptor signaling system plays a key role in vascular development and regulation of vascular permeability. In case of HIV-1 infection, the interaction with extracellular viral Tat protein seems to enhance angiogenesis in Kaposi's sarcoma lesions
Lamalice L, et al. (2004). Oncogene.23(2): 434-445.
Takahashi T, et al. (2001). EMBO J .20(11): 2768-2778.
Predicted MW: 230kd, Immunohistochemistry: 1:50~1:100, Immunofluorescence: 1:100~1:200
For Research Use Only. Not for use in diagnostic/therapeutics procedures.
Subcellular location: | Secreted |
Post transnational modification: | The inhibitory disulfide bond between Cys-1024 and Cys-1045 may serve as a specific molecular switch for H(2)S-induced modification that regulates VEGFR2 function. |
Tissue Specificity: | Detected in cornea (at protein level). Widely expressed. |
BioGrid: | 109992. 60 interactions. |
There are currently no product reviews
|