Recombinant Mouse Monoclonal Antibody to Cytokeratin 7 (Glandular and Transitional Epithelial Marker)(Clone : rOV-TL12/30)

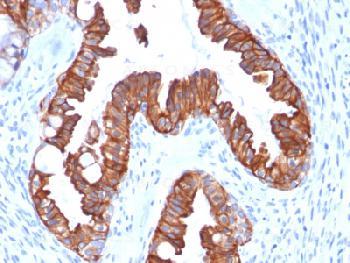
Figure 1: Formalin-fixed, paraffin-embedded human Endometrial Carcinoma stained with Cytokeratin-7 Mouse Recombinant Monoclonal Antibody (rOV-TL12/30).
Roll over image to zoom in
Shipping Info:
For estimated delivery dates, please contact us at [email protected]
Format : | Purified |
Amount : | 100 µg |
Isotype : | Mouse IgG1, kappa |
Purification : | Purified Ab with BSA and Azide at 200ug/ml |
Content : | 200ug/ml of recombinant MAb purified by Protein A/G. Prepared in 10mM PBS with 0.05% BSA & 0.05% azide. Also available WITHOUT BSA & azide at 1.0mg/ml. |
Storage condition : | Store the antibody at 4°C; stable for 6 months. For long-term storage; store at -20°C. Avoid repeated freeze and thaw cycles. |
Gene : | KRT7 |
Gene ID : | 3855 |
Uniprot ID : | P08729 |
Alternative Name : | CK-7, K2C7, Keratin 55K Type II Cytoskeletal, Keratin Simple Epithelial Type 1 K7, Keratin Type II Cytoskeletal 7, Krt2-7, KRT7, Sarcolectin, SCL, Type II Mesothelial Keratin K7, Type-II Keratin Kb7 |
Immunogen Information : | OTN 11, ovarian carcinoma cell line |
It recognizes an intermediate filament protein (IFP) of 55kDa, which is identified as cytokeratin 7. This MAb is highly specific to cytokeratin 7 and shows no cross-reaction with other IFPs. Cytokeratin 7 is a basic cytokeratin, which is found in most glandular and transitional epithelia but not in the stratified squamous epithelia. Keratin 7 is expressed in the epithelial cells of ovary, lung, and breast but not of colon, prostate, or gastrointestinal tract. This MAb is highly useful in distinguishing ovarian carcinomas (keratin 7+) from colon carcinomas (keratin 7-).
Western Blot (1-2µg/ml); Flow Cytometry (1-2µg/million cells); Immunohistochemistry (Formalin-fixed) (1-2µg/ml for 30 minutes at RT)(Staining of formalin-fixed tissues requires heating tissue sections in 10mM Tris with 1mM EDTA, pH 9.0, for 45 min at 95°C followed by cooling at RT for 20 minutes)
For Research Use Only. Not for use in diagnostic/therapeutics procedures.
Subcellular location: | Cytoplasm |
Post transnational modification: | Arg-20 is dimethylated, probably to asymmetric dimethylarginine. |
Tissue Specificity: | Expressed in cultured epidermal, bronchial and mesothelial cells but absent in colon, ectocervix and liver. Observed throughout the glandular cells in the junction between stomach and esophagus but is absent in the esophagus. |
BioGrid: | 110053. 16 interactions. |
There are currently no product reviews
|