Recombinant Rabbit Monoclonal Antibody to Glypican-3 (GPC3) (Hepatocellular Carcinoma Marker)(Clone : GPC3/1534R)

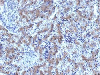
Figure 1: Formalin-fixed, paraffin-embedded human Fetal Liver stained with Glypican-3 Rabbit Recombinant Monoclonal Antibody (GPC3/1534R).
Roll over image to zoom in
Shipping Info:
For estimated delivery dates, please contact us at [email protected]
Format : | Purified |
Amount : | 100 µg |
Isotype : | Rabbit IgG |
Purification : | Purified Ab with BSA and Azide at 200ug/ml |
Content : | 200ug/ml of Ab purified by Protein A. Prepared in 1mM PBS with 0.05% BSA & 0.05% azide. Also available WITHOUT BSA & azide at 1.0mg/ml. |
Storage condition : | Store the antibody at 4°C; stable for 6 months. For long-term storage; store at -20°C. Avoid repeated freeze and thaw cycles. |
Flow Cytometry (1-2µg/million cells); Immunofluorescence (1-2µg/ml);Immunohistochemistry (Formalin-fixed) (1-2µg/ml for 30 minutes at RT)(Staining of formalin-fixed tissues requires heating tissue sections in 10mM Tris with 1mM EDTA buffer, pH 9.0, for 45 min at 95°C followed by cooling at RT for 20 minutes)
For Research Use Only. Not for use in diagnostic/therapeutics procedures.
Subcellular location: | Cell membrane |
Post transnational modification: | Cleaved intracellularly by a furin-like convertase to generate 2 subunits, alpha and beta, which remain associated through disulfide bonds and are associated with the cell surface via the GPI-anchor (PubMed:14610063). This processing is essential for its role in inhibition of hedgehog signaling (PubMed:25653284). A second proteolytic event may result in cleavage of the protein on the cell surface, separating it from the GPI-anchor and leading to its shedding from the cell surface (PubMed:14610063). |
Tissue Specificity: | Highly expressed in lung, liver and kidney. |
BioGrid: | 108983. 26 interactions. |
There are currently no product reviews
|