Anti-Adipophilin / Perilipin-2 (Marker of Lipid Accumulation) Monoclonal Antibody (Clone: ADFP/1494)

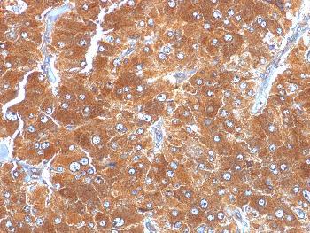
Fig.1: Formalin-fixed, paraffin-embedded human Adrenal stained with Adipophilin Mouse Monoclonal Antibody (ADFP/1494).
Roll over image to zoom in
Shipping Info:
For estimated delivery dates, please contact us at [email protected]
Amount : | 100 µg |
Isotype : | Mouse IgG2b, kappa |
Content : | 200µg/ml of Ab Purified from Bioreactor Concentrate by Protein A/G. Prepared in 10mM PBS with 0.05% BSA & 0.05% azide. Also available WITHOUT BSA & azide at 1.0mg/ml. |
Storage condition : | Antibody with azide - store at 2 to 8°C. Antibody without azide - store at -20 to -80°C. Antibody is stable for 24 months. |
ELISA (For coating, order Ab without BSA);Immunohistochemistry (Formalin-fixed) (2-4ug/ml for 30 minutes at RT) (Staining of formalin-fixed tissues requires heating tissue sections in 10mM Tris with 1mM EDTA, pH 9.0, for 45 min at 95°C followed by cooling at RT for 20 minutes);
For Research Use Only. Not for use in diagnostic/therapeutics procedures.
There are currently no product reviews
|