Anti-CD163 (Monocyte & Macrophage Marker) Monoclonal Antibody(Clone: M130/1210)
 
		
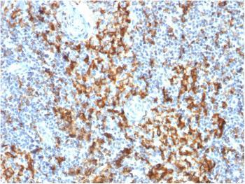
			Fig. 1: Formalin-fixed, paraffin-embedded human Lymph Node stained with CD163 Mouse Monoclonal Antibody (M130/1210).
Roll over image to zoom in
Shipping Info:
For estimated delivery dates, please contact us at [email protected]
| Amount : | 100 µg | 
| Isotype : | Mouse IgG2b, kappa | 
| Content : | 200 µg/ml of Ab Purified from Bioreactor Concentrate by Protein A/G. Prepared in 10mM PBS with0.05% BSA & 0.05% azide. Also available WITHOUT BSA & azide at 1.0mg/ml. | 
| Storage condition : | Antibody with azide - store at 2 to 8°C. Antibody without azide - store at -20 to -80°C. Antibody is stable for 24 months. Non-hazardous. | 
| Gene : | CD163 | 
| Alternative Name : | CD163, CD163 antigen, Macrophage-associated antigen, M130, CD163 molecule, Hemoglobin scavenger receptor, MM130; Scavenger receptor cysteine rich type 1 protein M130 | 
| Immunogen Information : | Recombinant human CD163 fragment (around aa 43-196) (Exact sequence is proprietary) | 
This MAb recognizes a protein of 140kDa, identified as CD163. It has been identified as an acute phase-regulated transmembrane protein whose function is to mediate the endocytosis of haptoglobin-hemoglobin complexes. This receptor is expressed on the surface of monocytes with low expression and on tissue macrophages, histiocytes with high expression.Staining with anti-CD163 has been helpful to distinguish synovial macrophages from synovial intimal fibroblasts in rheumatoid arthritis, where its specificity for macrophages was found to be superior to that of anti-CD68. Increased levels of CD163 were also detected in patients with microbial infections and myelomonocytic leukemias. Anti-CD163 is of considerable value for selective identification of monocytes and macrophages at a certain stage of differentiation and is suitable for diagnosing myelomonocytic or monocytic leukaemia and neoplasms of true histiocytic origin. CD163 is positive in skin (histiocytes), gut, Kupffer cells, a few alveolar macrophages, macrophages in the placenta, and in macrophages in inflamed tissues including tumor tissue.
Western Blot (1-2ug/ml);,Immunohistochemistry (Formalin-fixed) (1-2ug/ml for 30 minutes at RT),(Staining of formalin-fixed tissues is enhanced by heating tissue sections in 10mM Tris with 1mM EDTA, pH 9.0 for 45 min at 95°C followed by cooling at RT for 20 minutes),
For Research Use Only. Not for use in diagnostic/therapeutics procedures.
| 
                    	There are currently no product reviews | 






















.png)








 
					



