Anti-Glycophorin A / CD235a (Erythrocyte Marker) Recombinant Mouse Monoclonal Antibody (Clone:rGYPA/280)

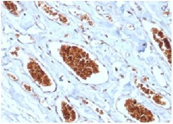
Figure 1: Formalin-fixed, paraffin-embedded human Angiosarcoma stained with Glycophorin A Mouse Recombinant Monoclonal Antibody (rGYPA/280).
Roll over image to zoom in
Shipping Info:
For estimated delivery dates, please contact us at [email protected]
Format : | Purified |
Amount : | 100 µg |
Isotype : | Mouse IgG1, kappa |
Purification : | Protein A/G |
Content : | 200µg/ml of recombinant MAb purified by Protein A/G. Prepared in 10mM PBS with 0.05% BSA & 0.05% azide. Also available WITHOUT BSA & azide at 1.0mg/ml. |
Storage condition : | Antibody with azide - store at 2 to 8°C. Antibody without azide - store at -20 to -80°C. Antibody is stable for 24 months. Non-hazardous. |
Gene : | GYPA |
Gene ID : | 2993 & 2994 |
Uniprot ID : | P02724 |
Alternative Name : | Blood group--MN locus; GPA; GPErik; GpMiIII; GPSAT; GYPA; MN sialoglycoprotein; MNS; PAS2; Sialoglycoprotein alpha |
Immunogen Information : | Recombinant full-length human glycophorin A protein |
Recognizes a sialoglycoprotein of 39kDa, identified as glycophorin A (GPA). It is present on red blood cells (RBC) and erythroid precursor cells. It has been shown that glycophorin acts as the receptor for Sandei virus and parvovirus.Glycophorins A (GPA) and B (GPB), which are single, trans-membrane sialoglycoproteins. GPA is the carrier of blood group M and N specificities, while GPB accounts for S and U specificities. GPA and GPB provide the cells with a large mucin like surface and it has been suggested this provides a barrier to cell fusion, so minimizing aggregation between red blood cells in the circulation.
Western Blot (1-2µg/ml); Immunohistochemistry (Formalin-fixed) (0.25-0.5µg/ml for 30 minutes at RT)(Staining of formalin-fixed tissues requires heating tissue sections in 10mM Tris with 1mM EDTA, pH 9.0, for 45 min at 95°C followed by cooling at RT for 20 minutes);
For Research Use Only. Not for use in diagnostic/therapeutics procedures.
Subcellular location: | Cell membrane |
Post transnational modification: | The major O-linked glycan are NeuAc-alpha-(2-3)-Gal-beta-(1-3)-[NeuAc-alpha-(2-6)]-GalNAcOH (about 78 %) and NeuAc-alpha-(2-3)-Gal-beta-(1-3)-GalNAcOH (17 %). Minor O-glycans (5 %) include NeuAc-alpha-(2-3)-Gal-beta-(1-3)-[NeuAc-alpha-(2-6)]-GalNAcOH NeuAc-alpha-(2-8)-NeuAc-alpha-(2-3)-Gal-beta-(1-3)-GalNAcOH. About 1% of all O-linked glycans carry blood group A, B and H determinants. They derive from a type-2 precursor core structure, Gal-beta-(1,3)-GlcNAc-beta-1-R, and the antigens are synthesized by addition of fucose (H antigen-specific) and then N-acetylgalactosamine (A antigen-specific) or galactose (B antigen-specific). Specifically O-linked-glycans are NeuAc-alpha-(2-3)-Gal-beta-(1-3)-GalNAcOH-(6-1)-GlcNAc-beta-(4-1)-[Fuc-alpha-(1-2)]-Gal-beta-(3-1)-GalNAc-alpha (about 1%, B antigen-specific) and NeuAc-alpha-(2-3)-Gal-beta-(1-3)-GalNAcOH-(6-1)-GlcNAc-beta-(4-1)-[Fuc-alpha-(1-2)]-Gal-beta (1 %, O antigen-, A antigen- and B antigen-specific). |
BioGrid: | 109248. 13 interactions. |
There are currently no product reviews
|