Anti-MRP3 (Multidrµg Resistance-Associated Protein 3) Monoclonal Antibody(Clone: ABCC3/2971)

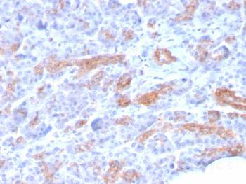
Fig. 1: Formalin-fixed, paraffin-embedded human Pancreatic Carcinoma stained with MRP3 Mouse Monoclonal Antibody (ABCC3/2971).
Roll over image to zoom in
Shipping Info:
For estimated delivery dates, please contact us at [email protected]
Amount : | 100 µg |
Isotype : | Mouse IgG1, kappa |
Content : | 200 µg/ml of Ab Purified from Bioreactor Concentrate by Protein A/G. Prepared in 10mM PBS with 0.05% BSA & 0.05% azide. Also available WITHOUT BSA & azide at 1.0mg/ml. |
Storage condition : | Antibody with azide - store at 2 to 8°C. Antibody without azide - store at -20 to -80°C. Antibody is stable for 24 months. Non-hazardous. |
Gene : | ABCC3 |
Gene ID : | 8714 |
Uniprot ID : | O15438 |
Alternative Name : | ABC31; ATP-binding cassette sub-family C member 3 (ABCC3); Canalicular multispecific organic anion transporter 2 (CMOAT2); MLP2; MOATD; Multi-specific organic anion transporter D; Multidrµg resistance-associated protein 3 |
Immunogen Information : | Recombinant fragment (around aa 815-957) of human MRP3 (ABCC3) protein (exact sequence is proprietary) |
Immunohistochemistry (Formalin-fixed) (1-2ug/ml for 30 minutes at RT)(Staining of formalin-fixed tissues requires heating tissue sections in 10mM Tris with 1mM EDTA, pH 9.0, for 45 min at 95°C followed by cooling at RT for 20 minutes)
For Research Use Only. Not for use in diagnostic/therapeutics procedures.
There are currently no product reviews
|