Anti-Thyroglobulin Monoclonal Antibody (Clone:IHC674)

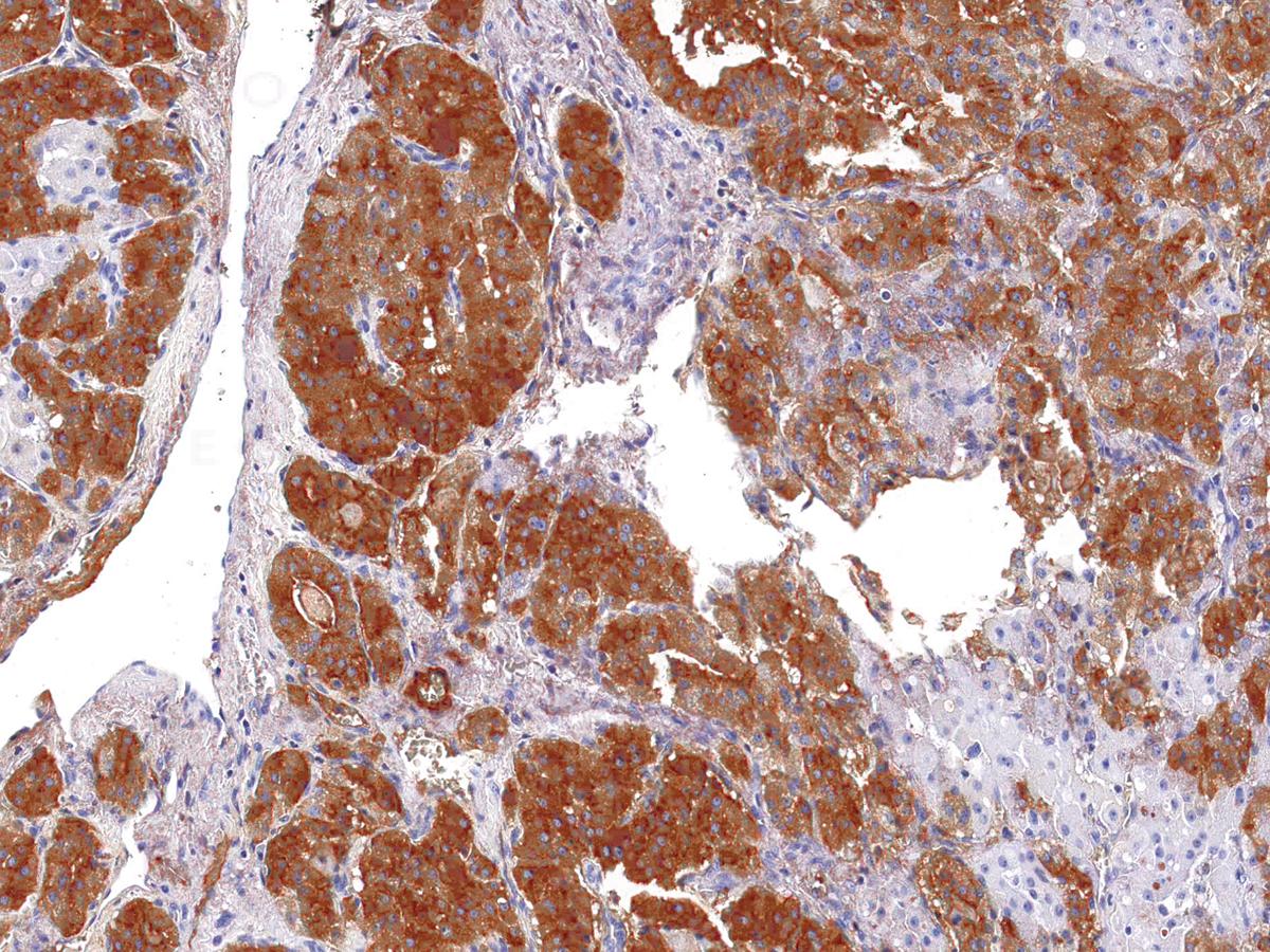
Figure 1: Immunohistochemical analysis of Thyroglobulin (Clone: IHC674) on Thyroid Cancer
Roll over image to zoom in
Shipping Info:
For estimated delivery dates, please contact us at [email protected]
Format : | Purified |
Amount : | 0.5 ml |
Isotype : | Mouse IgG1 |
Purification : | Protein A/G Chromatography |
Content : | Tris Buffer, pH 7.3 - 7.7, with 1% BSA and <0.1% Sodium Azide |
Storage condition : | Store at 2°C - 8°C. Do not freeze. |
Thyroglobulin is a precursor to the thyroid hormones T4 and T3 and is present in the thyroid follicular cells. Nearly all thyroid follicular carcinomas stain for thyroglobulin and sometimes produce a focal staining pattern. Conversely, poorly differentiated carcinomas and non-thyroid adenocarcinomas do not stain for thyroglobulin. A panel of Anti-Thyroglobulin and Anti-Calcitonin is useful for identifying medullary thyroid carcinomas, whereas a panel of Anti-Thyroglobulin and Anti-TTF1 is useful for distinguishing between primary thyroid and lung neoplasms.
Recommended dilutions: Immunohistochemical analysis: 1:100 - 1:200. However, this need to be optimized based on the research applications.
For Research Use Only. Not for use in diagnostic/therapeutics procedures.
Subcellular location: | Secreted |
Post transnational modification: | Sulfated tyrosines are desulfated during iodination. |
Tissue Specificity: | Thyroid gland specific. |
BioGrid: | 112896. 3 interactions. |
There are currently no product reviews
|