Monoclonal Antibody to Cytokeratin 6 (KRT6) (Hyperproliferation-Related Keratin)(Clone : LHK6; same as LHK6B)(Discontinued)

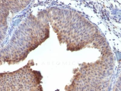
Formalin-fixed, paraffin-embedded human Bladder Carcinoma stained with Cytokeratin 6 Monoclonal Antibody (LHK6)
Roll over image to zoom in

Shipping Info:
For estimated delivery dates, please contact us at [email protected]
Format : | Purified |
Amount : | 100 µg |
Isotype : | Mouse IgG2a |
Purification : | Affinity Chromatography |
Content : | 100 µg in 500 µl PBS containing 0.05% BSA and 0.05% sodium azide. Sodium azide is highly toxic. |
Storage condition : | Store the antibody at 4°C; stable for 6 months. For long-term storage; store at -20°C. Avoid repeated freeze and thaw cycles. |
Flow Cytometry (0.5-1µg/million cells in 0.1ml); Immunofluorescence (0.5-1µg/ml); Immunohistology (Formalin-fixed) (0.1-0.2µg/ml for 30 min at RT); (Staining of formalin-fixed tissues requires boiling tissue sections in 10mM Citrate buffer, pH 6.0, for 10-20 min followed by cooling at RT for 20 minutes); Optimal dilution for a specific application should be determined.
For Research Use Only. Not for use in diagnostic/therapeutics procedures.
Tissue Specificity: | Constitutively expressed in distinct types of epithelia such as those in oral mucosa, esophagus, papillae of tongue and hair follicle outer root sheath. |
BioGrid: | 110051. 45 interactions. |
There are currently no product reviews
|