Monoclonal Antibody to Insulin / IRDN (beta-Cell & Insulinoma Marker)(Clone : IRDN/805)

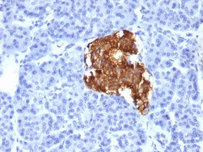
Formalin-fixed, paraffin-embedded human Pancreas stained with Insulin Monoclonal Antibody (IRDN/805).
Roll over image to zoom in
Shipping Info:
For estimated delivery dates, please contact us at [email protected]
Format : | Purified |
Amount : | 100 µg |
Isotype : | Mouse IgG1, kappa |
Purification : | Affinity Chromatography |
Content : | 100 µg in 500 µl PBS containing 0.05% BSA and 0.05% sodium azide. Sodium azide is highly toxic. |
Storage condition : | Store the antibody at 4°C; stable for 6 months. For long-term storage; store at -20°C. Avoid repeated freeze and thaw cycles. |
Recognizes a polypeptide which is identified as insulin, a 51-amino acid polypeptide composed of A and B chains connected through the C-peptide. Proinsulin, which has very little biological activity, is cleaved by proteases within its cell of origin into the insulin molecule and the C-terminal basic residue. Insulin enhances membrane transport of glucose, amino acids, and certain ions. It also promotes glycogen storage, formation of triglycerides, and synthesis of proteins and nucleic acids. Deficiency of insulin results in diabetes mellitus. The main storage site for insulin is the pancreatic islets. Antibodies to insulin are important as beta-cell and insulinoma marker.
Immunohistochemistry (Formalin-fixed) (1-2ug/ml for 30 minutes at RT)(No special pretreatment is required for staining of formalin/paraffin tissues.)
For Research Use Only. Not for use in diagnostic/therapeutics procedures.
Subcellular location: | Secreted |
BioGrid: | 109842. 13 interactions. |
There are currently no product reviews
|