Monoclonal Antibody to MyoD1 (Rhabdomyosarcoma Marker)(Clone : MYD712)(Discontinued)

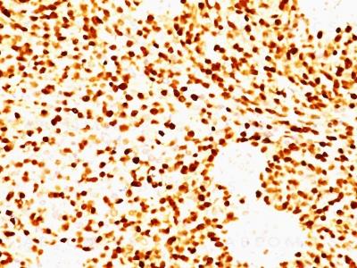
Formalin-fixed, paraffin-embedded human Rhabdomyosarcoma stained with MyoD1 Monoclonal Antibody (MYD712)
Roll over image to zoom in

Shipping Info:
For estimated delivery dates, please contact us at [email protected]
Format : | Purified |
Amount : | 100 µg |
Isotype : | Mouse IgG1 Kappa |
Purification : | Affinity Chromatography |
Content : | 100 µg in 500 µl PBS containing 0.05% BSA and 0.05% sodium azide. Sodium azide is highly toxic. |
Storage condition : | Store the antibody at 4°C; stable for 6 months. For long-term storage; store at -20°C. Avoid repeated freeze and thaw cycles. |
Flow Cytometry (0.5-1µg/million cells in 0.1ml); Immunofluorescence (0.5-1µg/ml); Immunohistology (Formalin-fixed) (0.5-1µg/ml for 30 minutes at RT); (Staining of formalin-fixed tissues requires boiling tissue sections in 10mM Tris with 1mM EDTA, pH 9.0, for 10-20 min followed by cooling at RT for 20 minutes); Optimal dilution for a specific application should be determined.
For Research Use Only. Not for use in diagnostic/therapeutics procedures.
Subcellular location: | Nucleus |
Post transnational modification: | Methylation at Lys-104 by EHMT2/G9a inhibits myogenic activity. |
BioGrid: | 110737. 69 interactions. |
There are currently no product reviews
|