Anti-Integrin alpha 1 Polyclonal Antibody

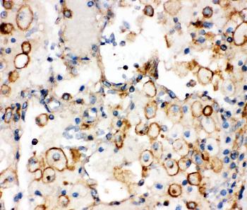
Figure 1: Anti-Integrin alpha 1 antibody(39-2051). IHC(P): Human Lung Cancer Tissue.
Roll over image to zoom in
Shipping Info:
For estimated delivery dates, please contact us at [email protected]
Amount : | 100 μg/vial |
Isotype : | Rabbit IgG |
Purification : | Immunogen affinity purified. |
Content : | Each vial contains 4mg Trehalose, 0.9mg NaCl and 0.2mg Na2HPO4. Reconstitute : Add 0.2ml of distilled water will yield a concentration of 500ug/ml. |
Storage condition : | At -20˚C for one year. After reconstitution, at 4˚C for one month. It can also be aliquotted and stored frozen at -20˚C for a longer time. Avoid repeated freezing and thawing. |
Integrin alpha 1(ITGA1) chain associates with the beta 1(ITGB1) chain to form a heterodimer that functions as a dual laminin/collagen receptor in neural cells and hematopoietic cells. ITGA1 has a 206-amino acid I domain in its N-terminal half, followed by 3 divalent cation-binding sites and a C-terminal transmembrane domain with a short cytoplasmic tail. It also has 28 potential N-glycosylation sites. Human ITGA1 was expressed in a mouse fibroblast cell line as a 180-kD protein. ITGA1 is involved in the early remodeling of osteoarthritic cartilage and plays an essential role in the regulation of mesenchymal stem cell proliferation and cartilage production. It also plays an essential role in the regulation of MHC proliferation and cartilage production.
Western blot : 0.1-0.5μg/ml
For Research Use Only. Not for use in diagnostic/therapeutics procedures.
Subcellular location: | Membrane |
BioGrid: | 109879. 18 interactions. |
There are currently no product reviews
|