Polyclonal Antibody to BIM (Phospho-Ser69)
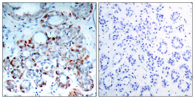
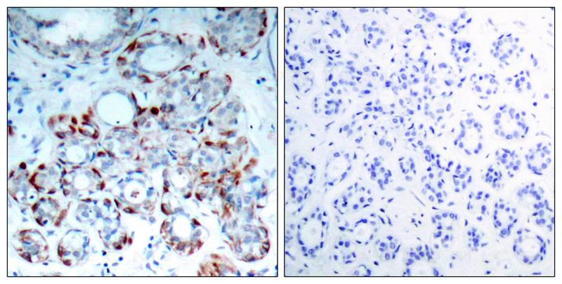
Figure 1: Immunohistochemical analysis of paraffin-embedded human breast carcinoma tissue using BIM(Phospho-Ser69) Antibody 35-1263 (left) or the same antibody preincubated with blocking peptide(right).
Roll over image to zoom in
Shipping Info:
For estimated delivery dates, please contact us at [email protected]
| Format : | Purified |
| Amount : | 100 µl |
| Isotype : | Rabbit IgG |
| Content : | Supplied at 1.0mg/mL in phosphate buffered saline (without Mg2+ and Ca2+), pH 7.4, 150mM NaCl, 0.02% sodium azide and 50% glycerol. |
| Storage condition : | Store the antibody at 4°C, stable for 6 months. For long-term storage, store at -20°C. Avoid repeated freeze and thaw cycles. |
Induces apoptosis. Isoform BimL is more potent than isoform BimEL. Isoform Bim-a1, isoform Bim-a2 and isoform Bim-a3 induce apoptosis, although less potent than the isoforms BimEL, BimL and BimS. Isoform Bim-gamma induces apoptosis
Predicted MW: 23kd, Immunohistochemistry: 1:50~1:100, Immunofluorescence: 1:100~1:200
For Research Use Only. Not for use in diagnostic/therapeutics procedures.
| Subcellular location: | Mitochondrion |
| Post transnational modification: | Ubiquitination by TRIM2 following phosphorylation by MAPK1/MAPK3 leads to proteasomal degradation. Conversely, deubiquitination catalyzed by USP27X stabilizes the protein. |
| Tissue Specificity: | Isoform BimEL, isoform BimL and isoform BimS are the predominant isoforms and are widely expressed with tissue-specific variation. Isoform Bim-gamma is most abundantly expressed in small intestine and colon, and in lower levels in spleen, prostate, testis, heart, liver and kidney. |
| BioGrid: | 115335. 59 interactions. |
|
There are currently no product reviews
|



















.png)














