Anti-BARX1 (Prognostic Biomarker in Hepatocellular Carcinoma) Monoclonal Antibody(Clone: BARX1/2760)

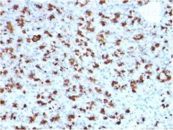
Fig. 1: Formalin-fixed, paraffin-embedded human Pancreas stained with BARX1 Mouse Monoclonal Antibody (BARX1/2760).
Roll over image to zoom in
Shipping Info:
For estimated delivery dates, please contact us at [email protected]
Amount : | 100 µg |
Isotype : | Mouse IgG, kappa |
Content : | 200 µg/ml of Ab Purified from Bioreactor Concentrate by Protein A/G. Prepared in 10mM PBS with 0.05% BSA & 0.05% azide. Also available WITHOUT BSA & azide at 1.0mg/ml. |
Storage condition : | Antibody with azide - store at 2 to 8°C. Antibody without azide - store at -20 to -80°C. Antibody is stable for 24 months. Non-hazardous. |
Uniprot ID : | Q9HU1 |
Alternative Name : | BarH like homeobox 1; BarX 1; BARX homeobox 1; Homeobox protein BarH like 1 |
Immunogen Information : | Recombinant full-length human BARX1 protein. |
BarX1 is a member of the Bar subclass of homeobox transcription factors. Studies of the Mouse and chick homolog sµggest the encoded protein may play a role in developing teeth and craniofacial mesenchyme of neural crest origin. The protein may also be associated with differentiation of stomach epithelia. Down-regulation of Barx1 promotes HCC migration, invasion and metastasis, whereas up-regulation of Barx1 inhibits HCC migration, invasion and metastasis. The loss of Barx1 expression represents a prognostic biomarker in human HCC.
Immunohistochemistry (Formalin-fixed) (1-2ug/ml for 30 min at RT)(Staining of formalin-fixed tissues requires heating tissue sections in 10mM Tris with 1mM EDTA, pH 9.0, for 45 min at 95°C followed by cooling at RT for 20 minutes);
For Research Use Only. Not for use in diagnostic/therapeutics procedures.
There are currently no product reviews
|