Anti-CD5 (Mantle Cell Lymphoma Marker) Monoclonal Antibody(Clone: CD5/2418)

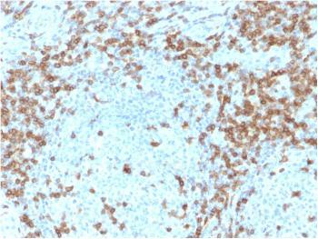
Fig. 1: Formalin-fixed, paraffin-embedded human Tonsil stained with CD5-Monospecific Mouse Monoclonal Antibody (CD5/2418).
Roll over image to zoom in
Shipping Info:
For estimated delivery dates, please contact us at [email protected]
Amount : | 100 µg |
Isotype : | Mouse IgG2c, kappa |
Content : | 200 µg/ml of Ab Purified from Bioreactor Concentrate by Protein A/G. Prepared in 10mM PBS with 0.05% BSA & 0.05% azide. Also available WITHOUT BSA & azide at 1.0mg/ml. |
Storage condition : | Antibody with azide - store at 2 to 8°C. Antibody without azide - store at -20 to -80°C. Antibody is stable for 24 months. Non-hazardous. |
Gene : | CD5 |
Gene ID : | 921 |
Uniprot ID : | P06127 |
Alternative Name : | CD5 antigen (p56 62), LEU1, Ly12, LyA, Lymphocyte antigen T1/Leu-1, Lymphocyte glycoprotein T1/Leu1, T-cell surface glycoprotein CD5 |
Immunogen Information : | Recombinant fragment of human CD5 protein (around aa 269-366) (exact sequence is proprietary) |
Flow Cytometry (1-2ug/million cells);Immunofluorescence (1-2ug/mg); Immunohistochemistry (Formalin-fixed) (1-2ug/ml for 30 minutes at RT)(Staining of formalin-fixed tissues requires heating tissue sections in 10mM Tris with 1mM EDTA, pH 9.0, for 45 min at 95°C followed by cooling at RT for 20 minutes);
For Research Use Only. Not for use in diagnostic/therapeutics procedures.
There are currently no product reviews
|