Anti-ASRGL1 (Asparaginase Like 1) Monoclonal Antibody(Clone: CRASH/1289)
 
		
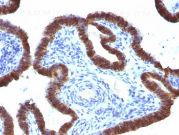
			Fig. 1: Formalin-fixed, paraffin-embedded human Fallopian Tube stained with ASRGL1 Mouse Monoclonal Antibody (CRASH/1289).
Roll over image to zoom in
Shipping Info:
For estimated delivery dates, please contact us at [email protected]
| Amount : | 100 µg | 
| Isotype : | Mouse IgG1, kappa | 
| Content : | 200 µg/ml of Ab Purified from Bioreactor Concentrate by Protein A/G. Prepared in 10mM PBS with 0.05% BSA & 0.05% azide. Also available WITHOUT BSA & azide at 1.0mg/ml. | 
| Storage condition : | Antibody with azide - store at 2 to 8°C. Antibody without azide - store at -20 to -80°C. Antibody is stable for 24 months. Non-hazardous. | 
| Gene : | ASRGL1 | 
| Gene ID : | 80150 | 
| Uniprot ID : | Q7L266 | 
| Alternative Name : | ALP1; ASGL1; Asparaginase like 1; ASRGL1; beta-aspartyl-peptidase; CRASH; isoaspartyl dipeptidase; isoaspartyl peptidase/L-asparaginase; L asparaginase; L asparagine amidohydrolase | 
| Immunogen Information : | Recombinant human ASRGL1 fragment | 
Immunohistochemistry (Formalin-fixed) (1-2ug/ml for 30 minutes at RT)(Staining of formalin-fixed tissues is enhanced by heating tissue sections in 10mM Tris with 1mM EDTA, pH 9.0 for 45 min at 95°C followed by cooling at RT for 20 minutes)
For Research Use Only. Not for use in diagnostic/therapeutics procedures.
| 
                    	There are currently no product reviews | 
















.png)








 
					



