Anti-gp100 / Melanosome / PMEL17 / SILV (Melanoma Marker) Monoclonal Antibody(Clone: PMEL/2037)

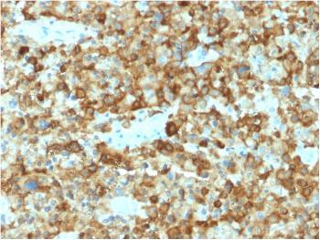
Fig. 1: Formalin-fixed, paraffin-embedded human Melanoma stained with gp100 Mouse Monoclonal Antibody (PMEL/2037).
Roll over image to zoom in
Shipping Info:
For estimated delivery dates, please contact us at [email protected]
Amount : | 100 µg |
Isotype : | Mouse IgG1, kappa |
Content : | 200 µg/ml of Ab Purified from bioreactor concentrate by Protein A/G. Prepared in 10mM PBS with0.05% BSA & 0.05% azide. Also available WITHOUT BSA & azide at 1.0mg/ml. |
Storage condition : | Antibody with azide - store at 2 to 8°C. Antibody without azide - store at -20 to -80°C. Antibody is stable for 24 months. Non-hazardous. |
Gene : | SILV |
Gene ID : | 6490 |
Uniprot ID : | P40967 |
Alternative Name : | 95kDa melanocyte-specific secreted glycoprotein, M-beta; Melanocyte lineage specific antigen GP100; Melanocyte protein Pmel 17; Melanoma associated ME20 antigen; Melanosomal matrix protein17; Premelanosome protein (PMEL17); Secreted melanoma-associated ME20 antigen; SILV; Silver homolog |
Immunogen Information : | A recombinant fragment (around aa 376-502) of human SILV protein (exact sequence is proprietary) |
ELISA (Use Ab at 2-4ug/ml for coating) (Order Ab without BSA); Western Blot (2-4ug/ml); Immunohistochemistry (Formalin-fixed) (1-2ug/ml for 30 minutes at RT),(Staining of formalin-fixed tissues requires heating tissue sections in 10mM Tris with 1mM EDTA, pH 9.0, for 45 min at 95°C followed by cooling at RT for 20 minutes);
For Research Use Only. Not for use in diagnostic/therapeutics procedures.
There are currently no product reviews
|